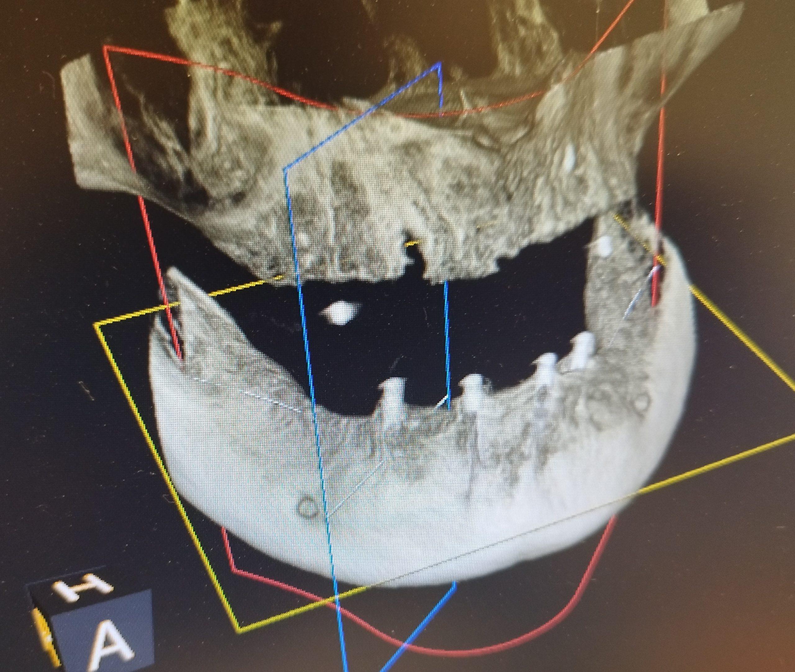
Alveolar resection (osteoplasty) - bridge prosthesis (FP3)
It is most often used - as opposed to augmentation - when an FP3 bridge prosthesis case is obtained from an FP2 pink ceramic case through bone grafting, which can be performed with much greater clinical safety and aesthetic results. In short, in the majority of cases, the space requirement of the gingival component of bridge prostheses (FP3) and the retention elements of overdentures may require resective preparation.
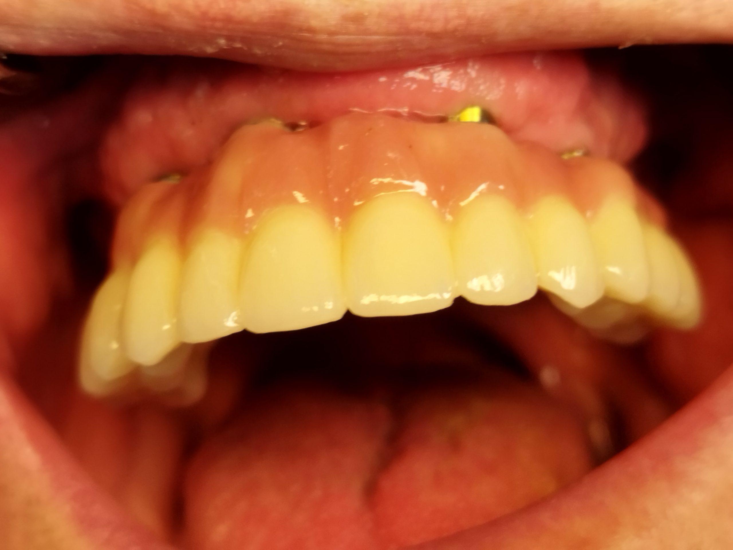
Bridge prosthesis case FP3 - satisfied patient